一種細胞培養微芯片的制作及應用
本文將微流體技術與細胞培養技術相結合,介紹了一種基于微系統平臺控制細胞分布進行細胞培養的方法,該微系統芯片不需要借助于凝膠等介質以及對微流體流速的精確控制,只利用微通道之間的狹縫,能夠有效的控制細胞的分布區域,實現培養區域的相對獨立,而小分子的培養基和藥物成分可以自由流動通過,實現了長時間的細胞培養。同時在該平臺上可以對細胞狀態進行實時觀測,為藥物篩選等提供了一個全新的細胞培養和篩選平臺。
1實驗方法
1.1 芯片制作
本實驗中制作如圖1(a)所示的細胞培養微芯片,其中b孔為細胞懸濁液進樣孔,細胞培養通道的寬度為100μm,a孔和c孔為培養基或者刺激液進樣孔,其管道寬度為200μm,該芯片的主要特點是如圖1(b)所示的粗黑線處的通道高度僅為5μm的狹縫,該狹縫既可保證細胞培養區與微管道區的連通,又可以使這兩個區域相對獨立,保證細胞在固定的區域生長,而培養基和刺激液等小分子可以自由流通。該細胞培養微芯片制作的基本方法是先通過微加工技術在硅片表面制作出雙層的SU-8負性光刻膠模具,然后通過模塑方法形成具有微結構的PDMS基片,最后與玻璃鍵合形成封閉的通道網絡,用于細胞的培養和研究,其制作的工藝流程圖如圖2所示。芯片制作的關鍵工藝是通過制作雙層的SU-8負性光刻膠模具形成狹縫,下面詳細介紹芯片制作的工藝過程。
圖1芯片的結構示意圖Fig.1Schematicmapofthechip(a)Structuresofthechip;(b)diagramofthecross-sectionalviewofthemicrochannel
圖2芯片制作流程示意圖Fig.2Schematicillustrationofproceduretofabricatethechip
首先是利用SU-8負性光刻膠進行“多次光刻、一次顯影”[12]工藝制作雙層的細胞芯片模具。將硅片在Piranha洗液(硫酸和雙氧水按5:1混合)中煮沸10min,冷卻后用去離子水沖洗干凈,氮氣吹干后在200oC烘箱中烘30min。在清洗干凈并烘干的硅片上甩涂稀釋的負性光刻膠SU8-2025(MicroChemCorp.,MA,USA),放在熱板上在65oC烘1min然后升溫至95oC保持2min,緩慢降溫至室溫。在光刻機中將第一層掩模版與硅片對準,曝光,然后對基片進行PEB(Postexposedbake,PEB),即在熱板上65oC烘1min然后升溫到95oC保持1min,緩慢降溫至室溫,這樣就將第一層的圖形轉移到SU-8光刻膠上。再將第二層SU8-2025甩涂于基片表面,在熱板上加熱到65oC保持1min然后加熱到95oC保持3min冷卻至室溫完成前烘,對準第二層掩模曝光,將硅片放到熱板上加熱到65oC保持1min然后升溫至95oC保持3min完成PEB,緩慢冷卻至室溫,最后超聲輔助顯影,形成雙層的SU-8模具。
將PDMS(DowCorning,Michigan,USA)單體與固化劑按照10:1的比例混合均勻后,抽真空后進行脫氣處理,澆注在有SU-8微結構的硅片上,放置在80oC的熱板上固化1h,冷卻后從硅片表面剝離,打孔,并切割成合適的大小備用。
將制備好的具有微結構的PDMS和清洗干凈的玻璃片或無結構的PDMS基片放入氧離子表面處理機中對其表面處理15s,取出后將二者迅速貼合,形成封閉的微通道網絡,完成細胞培養微芯片的制作。
1.2 微芯片內細胞培養
注入芯片內培養的細胞采用實驗室常規培養的3T3細胞和B-Cap細胞(上海市第九人民醫院組織工程中心)。細胞培養液為DMEM(Gibco),加入10%的胎牛血清(杭州四季青生物工程材料有限公司)和100μL/mL的鏈青霉素(吉諾生物醫藥技術有限公司,杭州),消化液為0.25%的胰酶和0.02%的EDTA(吉諾生物醫藥技術有限公司,杭州)。
將制作好的細胞培養微芯片用75%的酒精浸潤,然后放入常規細胞培養皿(PolystyrenePetridish)中,用紫外線照射1h,進行消毒。為利于細胞在微通道內貼壁生長,在微通道內導入細胞培養液浸潤過夜,使芯片表面包被蛋白。將生長狀態良好的細胞進行消化,吹散打勻,通過進液孔導入芯片內,放入培養箱內進行培養。培養過程中每隔一天更換芯片內部的培養液。培養箱外培養時,將導入細胞的芯片放在ITO玻璃加熱平臺上,同時在培養基內添加與DMEM等量的Leibovitz’sL-15(Gibco)以保證細胞外基質的酸堿度穩定[13],并且每12h補充一次培養液,以保證培養基的穩定。
1.3 細胞活性檢測
芯片內貼壁生長的細胞活性通過Live/deadviability/cytotoxicitykit試劑盒(Molecularprobes)進行檢測。細胞在芯片內生長72h后,先通入PBS清洗5min,再通入含2μmol/LCalceinAM和4μmol/LEthidiumhomodier-1(EthD-1)的混合液在室溫下孵育30min,然后立即在熒光顯微鏡(Olympus)下觀察并拍照。
2結果與討論
2.1材料選擇
制作細胞芯片的材料可以是硅、玻璃、PDMS等生物兼容性材料。硅材料雖然具有良好的微加工性能,但是由于透光性不好,不便于觀察細胞的形態,因此硅材料多用于刻蝕或者是在其表面用負膠加工制作模具,用于模塑的方法形成細胞培養芯片。玻璃不僅具有良好的微加工性能,還具有很好的透光性和生物兼容性,被廣泛的用于細胞芯片的制作,但是由于其不透氣性,因此采用全玻璃材料制作細胞芯片時需要在培養液中溶入足夠的氧氣,并且頻繁更換培養液或者是采用灌流的方法才能保證細胞的生長。PDMS是目前微加工技術中廣泛應用的一種材料,由于其可以通過模具批量加工,生產成本低,且PDMS具有很好的透光性、生物兼容性和透氣性[14],是制作細胞培養微芯片的優良材料。
本實驗中通過PDMS與玻璃鍵合制作細胞培養微芯片,既有良好的生物兼容性,又便于實驗過程中的觀察,還因為材料優良的透氣性特點,可以滿足細胞生長過程中對氣體氛圍的要求,更有利于細胞的在片培養和實時觀測。
2.2SU-8雙層模具的制作
目前,基于SU-8負性光刻膠加工模具的技術得到廣泛應用。實驗中使用的細胞培養微芯片的模具是將雙層結構做到一片硅片上,采用“兩次曝光,一次顯影”方法制作的SU-8負性光刻膠模具,可以簡化模具的制作工藝流程,避免模塑成型后繁瑣的結構對準步驟進行鍵合,提高芯片的制作效率和成品率。
2.3可變式的芯片結構
將進樣孔打在有微結構的基片上和在沒有微結構的基片上,芯片內的微縫的位置會不同。如圖3(a)所示,若將液體進樣孔開在具有微結構圖形的基片上,然后與沒有微結構的基片鍵合,則微縫在芯片底部;如圖3(b)所示,若將液體進樣孔開在沒有微結構圖形的基片上,然后與具有微結構的基片鍵合,則微縫在芯片的頂部。這樣通過一個模具基片可以制作出兩種特點不同的細胞培養微芯片,可以根據實驗的需要選擇適當的結構。當微縫在芯片底部時,可以保證液體流動區的液體對細胞的直接刺激;當微縫在芯片頂部的時候,可以有效地隔離液體流動區對于細胞培養區細胞產生的剪切力等的影響,通過微流體的擴散作用對細胞提供養分和進行研究。最后制成的芯片如圖4(a)所示,4(b)和4(c)為管道微結構的顯微鏡的圖片,可以清楚地看到中間的細胞培養區域和兩側的微流體區域有微小的狹縫相通。
圖3兩種芯片結構示意圖Fig.3Schematicmapsoftwodifferentchips
圖4芯片圖Fig.4Viewsofthechip(a)themicrodevices;(b)structureofthemicrochannel;(c)cross-sectionalviewofthemicrochannel
2.4細胞的固定、在片培養與檢測
為了實現細胞在固定區域的培養,芯片內細胞培養區域與周圍的微通道區域之間連通的狹縫的高度為5μm,而細胞的直徑約為10~20μm,因此,細胞懸濁液從細胞培養區的進樣孔導入芯片后,通過狹縫的攔截及微流體的流動使細胞只分布在細胞培養區域,有效的控制細胞的分布區域。圖5(a)為3T3細胞剛導入后芯片內在微縫處的分布圖,可見狹縫對細胞有很好的攔截作用;圖5(b)為3T3細胞在培養區域內貼壁生長的狀態,說明細胞在該芯片內生長狀態良好。圖5(c)和5(d)為細胞活性檢測試劑盒對72h后芯片內同一區域內的B-Cap細胞進行熒光染色的照片,由于calceinAM親脂性很高,能夠穿透細胞膜脫去AM基,使活細胞發出綠色熒光(如圖5(c)所示),而EthD-1不能穿透細胞膜,因此只能使死細胞激發紅色熒光(如圖5(d)所示)。芯片內絕大部分細胞呈現綠色熒光,只有很少量紅色細胞,表明細胞在該芯片內有很高的成活率,適宜進行細胞培養和實驗。
圖5細胞在芯片內的圖片Fig.5Cellsinthechip(a)cellslaybesidesthedamafterinfused;(b)cellsgrowthinthechip;(c)stainingwithCalceinAM;(d)stainingwithEthD-1
2.5培養箱外細胞培養和實時觀測
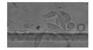
細胞狀態的實時觀測是細胞研究的需要。脫離了培養箱的培養,由于無法滿足溫度以及酸堿度的條件,因此調整這些因素以保證細胞能夠正常生長。因此,實驗中通過添加Leibovitz’sL-15以保證細胞外基質的酸堿度穩定;利用實驗室自制的ITO玻璃加熱平臺上進行培養[15],保證細胞生活所需要的溫度條件;以及每12h補充一次培養液或灌流的方法,保證培養基的穩定。通過以上三個條件的優化,該微芯片成功的應用于培養箱外細胞培養,圖6為3T3細胞在箱外培養2d的圖片,細胞仍保持良好狀態。
圖63T3細胞在培養箱外培養2d的照片Fig.63T3cellsculturedoutsidetheincubatorafter2days
3小結
采用“兩次光刻,一次顯影”技術制作SU-8負性光刻膠模具,澆注PDMS,固化成形和鍵合工藝制作的具有狹縫的微系統芯片,能夠有效控制細胞在芯片內的分布,實現細胞在微芯片內長時間培養,并且可以根據狹縫的位置不同設計不同的芯片結構,滿足多種實驗要求。同時該芯片可在培養箱外進行細胞培養,能夠保持細胞的活性,進行細胞狀態的實時監測。該芯片將微流體技術和細胞培養技術有機結合,為基于微系統技術進行細胞研究提供了一種新的研究平臺。
文獻來源生物工程學報 作者:邵建波,吳蕾,金慶輝,趙建龍
(轉載僅供參考學習及傳遞有用信息,版權歸原作者所有,如侵犯權益,請聯系刪除)
